RETRACCIÓN DEL PERIODONTO

¿Qué es la Retracción en el Periodonto?
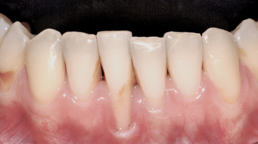
Es la exposición de las raíces de los dientes debido a la pérdida del hueso que sostiene a las encías y que protege la base de los mismos. La encía es como un abrigo para nuestros dientes, y cuando ésta se retira, la raiz de los dienten queda al descubierto.
Tratamientos Disponibles:
Una vez producida la retracción sólamente la cirugía mucogingival puede resolverla totalmente.
- Cirugia colgajo de reposición coronal: consiste en el desplazamiento de la propia encia del diente hacia su lugar cibriendo la zona radicular expuesta
- Cirugía de injerto de encía: Si la retracción es severa, puede ser necesario un injerto de encía, que implica tomar tejido de otra parte de la boca normalmente del paladar o utilizar material de colágeno para cubrir las raíces expuestas.

La retracción en el periodonto puede ser preocupante, pero con la orientación y el tratamiento adecuados, es posible recuperar y mantener una sonrisa saludable y hermosa. La prevención y la detección temprana son clave, es necesario realizar revisiones dentales regulares y consultar ante los primeros síntomas.
La encía es imprescindiblel para mantener una sonrisa bella.


